就医指南

国内权威专家为您提供 专业的各类医疗服务
【疑难手术又一技术创新】腹腔镜超声定位,肾肿瘤切除更精准!

“没想到体检竟然查出大问题,多亏了长春肿瘤医院的多学科团队,顺利解除了我身上的‘定时炸弹’, 目前身体恢复得很好……”近日,在泌尿外科病区,胡大爷感激万分。

这是腹腔镜下超声设备引入长春肿瘤医院后,在复杂泌尿系统手术上的又一次技术创新。凭借超声设备的精准导航功能,精确地切除肿瘤组织,保留更多健康肾组织,提⾼⼿术治疗效果,为患者带来福⾳。

 

疑难手术又一技术创新

胡大爷今年53岁,前一阵在体检时查出右肾占位性病变,便来到长春肿瘤医院泌尿外科就诊。

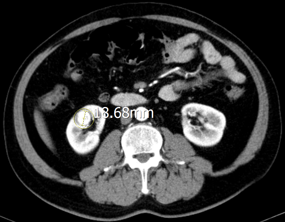
“结合相关影像资料,我们发现患者右肾皮质内见类圆形强化灶,直径约18mm,边界模糊不清,考虑恶性肿瘤。建议开展手术。”泌尿外科主任李胜文表示。

 

被肾脏包裹的肿瘤

 

由于胡大爷的肾肿瘤隐匿于肾实质深处,被正常肾脏组织包裹,手术中肉眼无法观测,定位非常困难,肿瘤位置判断不准确,可能导致⼿术不彻底或损伤周围健康组织,因此必须借助其他⼿段辅助定位

胡大爷住院后,泌尿外科、超声科、麻醉科、手术室等专家团队展开会诊讨论,考虑更精准定位和切除,更高效开展手术,医工科决定引入腹腔镜下超声设备,在超声定位引导下进行肾肿瘤切除手术。

 

多科协作精准“拆除”肿瘤

 

泌尿外科、超声科、麻醉科协作

 

1月4日,泌尿外科主任李胜文带领团队为患者实施腹腔镜下超声设备辅助根治肾肿瘤⼿术,超声科医师李琦协助运⽤⾼科技的腔镜下超声设备,为医⽣提供清晰的肿瘤图像,准确地找到肿瘤的位置。麻醉科全程保障术中麻醉安全,在三个科室的通力协作下,在腔镜下超声设备的精准导航下,李胜文主任完整、精准地切除了肿瘤,并最大限度地保留了正常肾脏组织,提升了⼿术的质量。

由于手术创伤小,患者恢复迅速。术后第一天即可进食,第三天即可下床活动,大大缩短了住院时间。

医疗技术革新造福患者

目前外科手术已逐步走向微创化、精准化道路,腹腔镜超声技术可以让术中诊断更精准、手术方式选择更合理、手术操作更精细。

减少并发症风险

超声设备实时显示肿瘤及周边血管管,降低误伤风险,如输尿管损伤、确保手术安全。

提高手术效率

通过腔镜下超声设备,手术团队能够迅速找到肿瘤位置,缩短⼿术时间,减轻患者痛苦和失血风险。

增强手术可预测性

借助超声设备的引导与监测,⼿术团队能够更准确地预测手术效果,提高手术的可预测性和成功率。

促进术后恢复

超声设备辅助下,手术创伤小,患者恢复快,减少住院时间,促进术后恢复。

此次多学科通力协作,不仅让患者得到精准化治疗,也增强了科室间交流合作。今后,也将继续发挥多学科联合的优势,为肿瘤患者提供更科学、更合理、更优质的个体化诊疗服务,让患者最大程度获益。

网站被访问42802269
地址:长春市高新区硅谷大街3777号(硅谷大街与蔚山路交会)
电话:0431-81863396

医院官微,欢迎关注

返回
顶部