地址:长春市高新区硅谷大街3777号(硅谷大街与蔚山路交会)
电话:0431-81863396
“不开刀就能消灭恶性肿瘤,真没想到小小粒子,竟有如此大的威力,感谢长春肿瘤医院介入科的专家团队为我实施了这项手术,解除了我的病痛。”74岁的患者苑大娘在我院进行经皮穿刺组织间粒子植入,术后效果良好,不仅病痛缓解,而且肿瘤明显缩小,病情得到了有效控制。

术后两年复发,治疗陷入困境
家住内蒙古的苑大娘两年前就被确诊为甲状腺恶性肿瘤,2022年9月她在吉林省某三甲医院行“双侧甲状腺全部切除术”,术后病理示为:【双侧甲状腺】(左侧)甲状腺滤泡癌 广泛浸润型。本以为做完手术就高枕无忧的她一周前突然出现呼吸困难,活动后加重,左侧颈部可触及肿大结节,于是在家人的陪同下再次来到医院检查,甲状腺超声提示:结节大小约7cm,气管双侧低回声,双侧颈部可见小淋巴结,考虑甲状腺癌复发可能性大。
得知自己术后仅两年便再次复发,苑大娘便觉晴天霹雳,本想再次行手术治疗,却因已进行过手术切除同时复发瘤体与气管关系紧密,并包绕多根重要血管而被告知不能手术,苑大娘一家陷入了困境。
小小粒子缩小病灶,重获希望
经过家人介绍,苑大娘得知长春肿瘤医院开展了粒子植入治疗,是可以弥补无法手术和放疗的新型治疗方法。于是来到我院找到了介入科刘冰主任。刘冰主任仔细研究了苑大娘的各种检查资料后,认为可以通过介入操作将粒子植入甲状腺肿瘤病灶内,通过内放射使其逐步缩小。

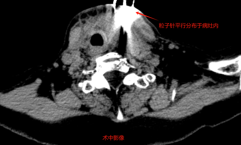
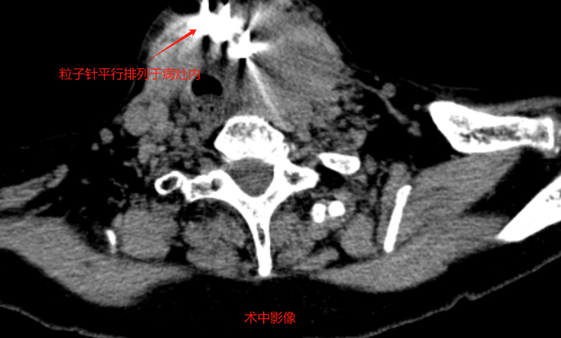
经过和患者家属的有效沟通,介入科团队为苑大娘补充了相关的检查,确定了治疗方案,于9月份在我院行“组织间粒子植入术”。由于复发病灶紧邻气管,且包绕了很多重要血管,无疑加大了操作难度。刘冰主任凭借多年的丰富经验,精细操作,将粒子精确植入到病灶内部,实现“精准爆破”。植入后患者无明显不适,很快顺利出院。


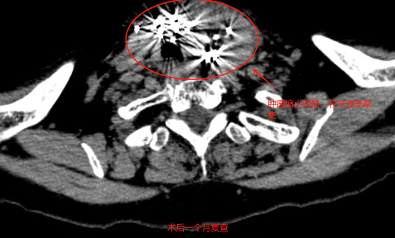
术后1月苑大娘回到我院复查,经过甲状腺CT增强所见:大小约4.0cm×5.6cm(前片5.0cm×6.3cm);余未见异常。粒子植入后肿物有明显的缩小!
患者和家属激动地表示:“我这个病复发转移已经晚期了,我都快要放弃治疗了,多亏了内科和介入科的治疗,让我重新有了希望!我一定要送锦旗给你们!”

前沿技术,“定向爆破”消肿瘤
肿瘤组织间粒子植入治疗,是通过CT、MRI等影像引导方式将放射性粒子植入肿瘤或其附近受癌细胞浸润的组织中进行近距离放射,是目前肿瘤治疗的新技术之一。
粒子植入适应证
1、手术或外放疗后复发;或拒绝手术、外放疗患者。
2、病理学诊断明确。
3、有合适的穿刺路径。
4、无出血倾向或高凝状态。
5、身体一般情况尚可。
6、可耐受放射性粒子植入术。
粒子植入优势
1、能够把粒子准确植入肿瘤中。定位准确,靶向性强。
2、肿瘤接受的放射剂量明显增加,而不增加正常组织的剂量。
3、持续低剂量率放射,能对不同分期的肿瘤细胞进行不间断照射,提高了放射敏感性。
4、粒子植入的部位肿瘤组织可被彻底杀灭,距粒子1cm以外的正常组织几乎不受损伤,能有效降低正常组织受照剂量,正常组织损伤小,病人无痛苦。
5、与其他的肿瘤治疗方法相比,有创伤小、生活质量高、住院时间短等优势。
地址:长春市高新区硅谷大街3777号(硅谷大街与蔚山路交会)
电话:0431-81863396